Accueil

Comptes Rendus Palevol 1 (1)

Publié le
31 janvier 2002




fr en Éditorial

Jean DERCOURT et al.

1-2, Publié le 31 janvier 2002, art. 1 (1) DOI

en Discovery of Palaeocene planktonic Foraminifera within the breccias of Western Pyrenees, previously considered as Aptian and diapiric

Bernard PEYBERNÈS et al.

3-10, Publié le 31 janvier 2002, art. 1 (2) DOI

en Early and Middle Pleistocene vegetation and climate in La Pineta (Isernia, Italy)

Vincent LEBRETON

11-17, Publié le 31 janvier 2002, art. 1 (3) DOI

en A new elasmotheriine (Mammalia, Rhinocerotidae) from the Early Miocene of Spain

Pierre-Olivier ANTOINE et al.

19-26, Publié le 31 janvier 2002, art. 1 (4) DOI

en Anatomical study of the skull of the Kenyan specimen KNM-ER 1805: a re-evaluation of its taxonomic allocation?

Sandrine PRAT

27-33, Publié le 31 janvier 2002, art. 1 (5) DOI

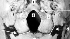
fr Fermeture des synchondroses intra-occipitales : implication dans la configuration du foramen magnum

Hélène COQUEUGNIOT & Jean-Marie LE MINOR

35-42, Publié le 31 janvier 2002, art. 1 (6) DOI

fr Les squelettes mésolithiques et néolithiques de l'abri des Autours (province de Namur, Belgique)

Caroline POLET & Nicolas CAUWE

43-50, Publié le 31 janvier 2002, art. 1 (7) DOI

fr Les prémices d'une agriculture diversifiée à la fin du Mésolithique dans le Val de Loire (Loire armoricaine, France)

Lionel VISSET et al.

51-58, Publié le 31 janvier 2002, art. 1 (8) DOI

fr Les feux préhistoriques holocènes en montagne sub-méditerranéenne : premiers résultats sur le Causse Méjean (Lozère, France)

David QUILÈS et al.

59-65, Publié le 31 janvier 2002, art. 1 (9) DOI

fr Le plus vieil établissement de métallurgistes de France (IIIe millénaire av. J.-C.) : Péret (Hérault)

Paul AMBERT et al.

67-74, Publié le 31 janvier 2002, art. 1 (10) DOI